Бесплодный брак презентация

Содержание

Слайд 1Бесплодный брак
Отсутствие наступления беременности в течение 1 года регулярной половой жизни

без использования методов контрацепции может расцениваться как бесплодие. Первичным называют бесплодие в том случае, если у женщины никогда не было беременности, вторичное бесплодие предполагает, что женщина хотя бы один раз была беременна.

Слайд 2Бесплодный брак
Понятие фертильность подразумевает наличие способности производить потомство, что в

свою очередь определяется возможностью инициации и поддержания беременности.
Бесплодие разделяют так же на относительное и абсолютное. При относительном бесплодии возможно наступление беременности после лечения (нормализации гормонального фона, лечения воспаления или проведения операции). При абсолютном бесплодии (к примеру, аномалия развития огранов) забеременеть невозможно, можно стать родителями только усыновив ребенка

Слайд 3Причины бесплодия у женщин и мужчин
Стандартизированная программа ВОЗ (1997) по обследованию

и лечению бесплодных супружеских пар содержит полный набор клинических и диагностических тестов, в ней выделен 21 фактор женского и 19 факторов мужского бесплодия. Бесспорным сегодня является то, что доля мужских и женских причин бесплодия приблизительно равна, поэтому необходимо обследовать супружескую пару. Комплексное клинико-лабораторное обследование женщин при бесплодном браке позволяет выявить ряд причин бесплодия. К ним относятся: •    сексуальная дисфункция; •    гиперпролактинемия; •    органические нарушения гипоталамо-гипофизарной области; •    аменорея с повышенным уровнем фолликулостимулирующий гормон; •    аменорея с нормальным уровнем эстрадиола; •    аменорея со сниженным уровнем эстрадиола; •    олигоменорея; •    нерегулярный менструальный цикл и/или ановуляция; •    ановуляция при регулярных менструациях; •    врожденные аномалии половых органов; •    двусторонняя непроходимость маточных труб; •    спаечный процесс в малом тазу; •    эндометриоз; •    приобретенная патология матки и цервикального канала; •    приобретенные нарушения проходимости маточных труб; •    туберкулез гениталий; •    ятрогенные причины; •    системные причины; •    отрицательный посткоитальный тест; •    неустановленные причины (когда лапароскопия не проводилась); •    бесплодие неясного генеза (при применении всех методов обследования, включая эндоскопические).

Слайд 4Классификация мужского бесплодия
Диагностические категории мужского бесплодия: 1.    Инфекции гениталий. 2.    Варикоцеле. 3.    Эндокринный

фактор. 4.    Идиопатическая астенозооспермия. 5.    Идиопатическая олигозооспермия. 6.    Идиопатическая тератозооспермия. 7.    Иммунологический фактор. 8.    Врожденные аномалии половых органов. 9.    Системные заболевания. 10.    Сексуальные и эякуляторные нарушения. 11.    Приобретенные аномалии половых органов. 12.    Обструктивная азооспермия. 13.    Генетический фактор. 14.    Ятрогенный фактор. Основными причинами мужского бесплодия являются инфекции половых органов, варикоцеле, идиопатическая патозооспермия и эндокринный фактор. Обобщение перечисленных причин женского и мужского бесплодия дает возможность определить структуру бесплодного брака, которая в основном складывается из трубно-перитонеального (40—50%), эндокринного бесплодия (20— 30%), мужского бесплодия (30-40%). Именно эти патологические состояния, обеспечивающие на 85—90 % структуру бесплодного брака, достаточно быстро диагностируются при использовании современных высокоинформативных диагностических методов и достаточно успешно лечатся при правильном определении последовательности этапов лечебных мероприятий.

Слайд 5Методы обследования при бесплодии
Учитывается день цикла, соответствующий дате проведения исследования.

Оценивают степень и особенности развития наружных половых органов, размер клитора, характер оволосения, особенности влагалища, шейки матки, матки и придатков, состояние крестцово-маточных связок, наличие и характер выделений из цервикального канала.

Слайд 7Методы обследования при бесплодии

Тесты функциональной диагностики: •    График базальной температуры предполагает

ежедневное измерение утренней температуры в прямой кишке. Рекомендуется измерять базальную температуру в течение 2-3-х менструальных циклов, преимущественно женщинам с сохраненным ритмом менструаций. •    Тест «цервикальное число по Insler» позволяет оценить уровень эстрогенной насыщенности организма женщины, проводится врачом. •    Пробы с мочой, позволяющие определить день овуляции.

Слайд 8Бесплодный брак
Бесплодный брак является серьезной медицинской и социальной проблемой. По данным

ВОЗ, при частоте бесплодия 15% и выше, влияние его на демографические показатели превышает суммарное влияние невынашивания и перинатальных потерь.

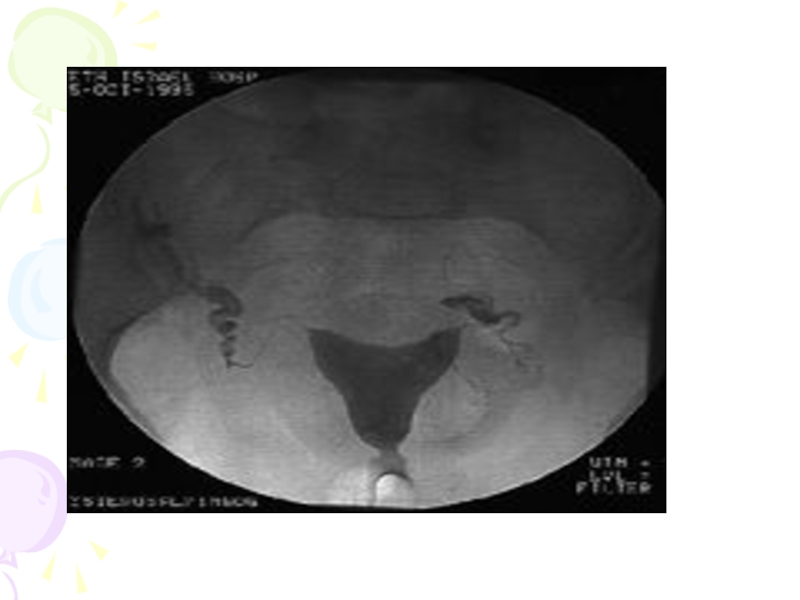
Слайд 10Гистеросальпингография
Метод, достаточно широко используемый в клинической практике для оценки состояния маточных

труб и наличия спаечного процесса в малом тазу, выявления пороков развития матки, гиперпластических процессов эндометрия, субмикозной миомы матки, внутреннего эндометриоза, внутриматочных синехий, истмико-цервикальной недостаточности.

Слайд 13Ультразвуковое исследование
Является эффективным, безопасным и неинвазивным методом. Диагностическая ценность этого метода

высока, он позволяет выявить образования матки, яичников, патологию эндометрия, динамику фолликулогенеза и овуляцию. Рекомендуется как обязательный метод обследования при бесплодии.

Слайд 14Классификация эндокринного бесплодия
I группа. Гипоталамо-гипофизарная недостаточность: 1.    Гипогонадотропный гипогонадизм гипоталамического генеза. 2.    Гипогонадотропный

гипогонадизм гипофизарного генеза. 3.    Гипогонадотропный гипогонадизм, обусловленный гиперпролактинемией. II    группа. Гипоталамо-гипофизарная дисфункция: 1.    Нормогонадотропная аменорея, олигоменорея, недостаточность функции желтого тела. 2.    Синдром поликистозных яичников центрального генеза. III    группа. Яичниковая недостаточность: 1.    Синдром преждевременного истощения яичников. 2.    Синдром резистентных яичников. 3.    Дисгенезия гонад. 4.    Синдром постовариэктомии, лучевого истощения яичников. 5.    Синдром поликистозных яичников яичникового генеза. 6.    Дисфункция коры надпочечников. IV    группа. Гипотиреоз. 1.    Гипотиреоз—аменорея—галакторея—гиперпролактинемия (синдром Ван-Вик—Росс — Генез). 2.    Гипотиреоз с нарушениями менструального цикла по типу олигоменореи, недостаточности функции желтого тела.  

Слайд 15Синдром поликистозных яичников
Отдельное рассмотрение синдрома поликистозных яичников (синдром поликистозных яичников) обусловлено

тем, что в основе его формирования и развития могут лежать нарушения различных звеньев репродуктивной системы: центральных структур, яичников, надпочечников. синдром поликистозных яичников является наиболее частой патологией среди эндокринного бесплодия у женщин (56,2 %). Известно, что синдром поликистозных яичников — мультифакторная патология, для которой характерны олиго/аменорея, хроническая ановуляция, гиперандрогения и, как следствие, гирсутизм и бесплодие

Слайд 16Трубные и перитонеальные факторы бесплодия


Методы диагностики трубно-перитонеального бесплодия: 1. Клинико-анамнестические

данные, указывающие на перенесенный воспалительный процесс органов малого таза, аборты, чревосечение, ношение внутриматочный контрацептив. 2. Результаты влагалищного исследования, при котором определяется наличие спаечного процесса в малом тазу и изменение анатомического расположения матки и придатков. 3. Микроскопия и бактериоскопия влагалищного содержимого, содержимого цервикального канала и полости матки. 4. Исследование на наличие урогенитальной инфекции: хламидиоз, гарднереллез, уреаплазма, микоплазма, вирусы. 5. Гистеросальпингография для оценки состояния матки, проходимости маточных труб, наличия спаечного процесса в малом тазу (рис. 7.1-7.6). 6. Лапароскопия дает точную оценку состояния органов малого таза, состояния и проходимости маточных труб, степени распространения спаечного процесса в малом тазу.

Слайд 17Маточный фактор бесплодия
Врожденные пороки развития матки чаще ассоциированы с невынашиванием беременности,

нежели с бесплодием. Для диагностики пороков используют гистеросальпингографию, гистероскопию, УЗИ, в ряде случаев прибегают к параллельному проведению гистероскопии с лапароскопическим исследованием. При диагностике пороков развития матки рекомендуется также провести исследование почек, поскольку пороки развития матки часто сочетаются с пороками развития мочевыделительной системы.

Слайд 18Маточный фактор бесплодия
Синдром Ашермана, характеризующийся наличием внутриматочных синехий, может являться причиной

бесплодия. Синехии могут создавать механическое препятствие для продвижения сперматозоидов, а также неблагоприятные условия для процесса имплантации оплодотворенной яйцеклетки. Разделение внутриматочных синехий производят гистероскопическим доступом и успех этой процедуры во многом зависит от выраженности процесса. Частота наступления беременности после разделения синехий колеблется от 25 до 50%.

Слайд 19Мужской фактор бесплодия
развитию мужского бесплодия могут привести различные причины. К

ним относятся: Анатомические факторы: •    варикоцеле; •    крипторхизм; •    обструкция семявыносящего протока (синдром Янга); •    врожденные пороки развития (гипоспадия, эписпадия, тестикулярная гипоспадия или аплазия, частичное или полное отсутствие семявыносящих протоков). Эндокринные факторы: •    дефицит гонадотропинов; •    синдром Каллменна; •    опухоли гипофиза (болезнь Кушинга, акромегалия); •    карликовость; •    гипотиреоз; •    синдром фертильного евнухоидизма; •    ферментопатии синтеза тестостерона; •    дефицит рецепторов андрогенов; •    врожденная гиперплазия надпочечников. Генетические факторы: •    синдром Клайнфелтера; •    синдром Дауна; •    47,XYY; •    аутосомные транслокации.

Слайд 20Мужской фактор бесплодия
Инфекционные факторы: •    орхит; •    эпидидимит; •    простатит; •    уретрит.
Иммунологические факторы: •    системные; •    локальные. Сексуальные

дисфункции: •    импотенция; •    ретроградная эякуляция; •    преждевременное семяизвержение; •    спермицидные любриканты. Экзогенные факторы: •    лекарственные препараты (антигипертензивные, антипсихотические, антидепрессанты, циметидин, химиотерапия); •    радиационное облучение; •    злоупотребление алкоголем; •    курение марихуаны; •    травмы; •    перегревание; •    табакокурение.

Слайд 21Спермограмма
•    нормозооспермия — нормальные показатели спермы; •    олигозооспермия — концентрация сперматозоидов

20x106/мл; •    тератозооспермия — нормальных форм сперматозоидов <30% при нормальных показателях количества и подвижных форм; •    астенозооспермия — подвижность сперматозоидов < 25 % категории «а» или < 50 % категории «а» + «в»; при нормальных показателях количества и морфологических форм; •    олигоастенозооспермия — сочетание 3-х вариантов патозооспермии; •    азооспермия — сперматозоидов в сперме нет; •    аспермия — объем спермы равен 0 мл.

Слайд 22Методы терапии мужского бесплодия
В зависимости от выявленных причин мужского бесплодия предусматриваются

различные виды лечения, которые можно разделить на консервативные, хирургические и методы вспомогательные репродуктивные технологии. Возможности медикаментозной терапии при различных нарушениях, обусловливающих патозооспермию, крайне ограничены и являют актуальной темой клинической андрологии. Консервативная терапия нарушений фертильности мужчин основана на применении следующих препаратов: 1. Андрогены: •    пероральные — местеролон (провирон), тестостерона ундеканоат (андриол, тестокапс); •    парентеральные — тестостерона пропионат (тестовирон), тестостерона энантат (тестостерон-депо), тестэнат (сустанон-250), тестостерона ундеканоат; •    трансдермальные — андродерм, андрактим, андрогель; •    транскротальные — тестодерм; •    подкожные имплантаты тестостерона. 2. Антиэстрогены — кломифен (клостилбегит), тамоксифен. 3. Гонадотропины — менопаузальный гонадотропин (пергонал, менагон, хумегон), фоллитропины (метродин, метродин ВЧ, пурегон), хорионический гонадотропин (профази, прегнил, хорагон).

Слайд 23Шеечный фактор и иммунологическое бесплодие
Шейка матки, а точнее цервикальный канал, играет

важную роль в реализации репродуктивной функции. В середине менструального цикла изменения качества цервикальной слизи способствуют транспорту сперматозоидов в верхние отделы половых путей. В другое время цервикальная слизь выполняет барьерную функцию, предотвращая попадание инородных субстанций в полость матки. Нарушения во взаимодействии цервикальной слизи со сперматозоидами лежат в основе формирования шеечного фактора бесплодия

Слайд 24Посткоитальный тест
Методика проведения посткоитального теста следующая. С помощью влагалищного зеркала (зеркало

должно быть сухое) производят забор цервикальной слизи. Оценку качества цервикальной слизи рассматривают по 5 параметрам: объем, вязкость, растяжимость, кристаллизация и клеточность. Образец слизи помещают на предметное стекло и исследуют под микроскопом. В процессе анализа подсчитывают количество сперматозоидов в одном поле зрения, вычисляют процент подвижных сперматозоидов и качество поступательных движений. Существует также мнение, что в проведении теста большое значение имеет оценка длительности жизни сперматозоидов, что обусловливает необходимость проведения теста через 10—16 ч после коитуса.

Слайд 25Посткоитальный тест
Низкая прогностическая ценность этого теста в дальнейшем была подтверждена с

использованием лапароскопии. С помощью лапароскопического доступа производили взятие перитонеальной жидкости во время предполагаемой овуляции. В 56 % случаев у пациенток с отрицательным посткоитальным тестом (менее 5 сперматозоидов в одном поле зрения) в перитонеальной жидкости обнаруживалось большое количество подвижных сперматозоидов. Напротив, лишь у 53 % женщин с положительным посткоитальным тестом в перитонеальной жидкости удалось обнаружить сперматозоиды.

Слайд 26Лечение цервикального бесплодия
Внутриматочная инсеминация с стимуляцией овуляции или без является

первоначальным этапом лечения пар с цервикальным фактором бесплодия. В меньшей степени этот метод эффективен в лечении пар с мужским фактором бесплодия и необъяснимым бесплодием. Внутриматочная инсеминация обычно проводится на протяжении 3—6 циклов. При отсутствии эффекта прибегают к другим методам лечения, в частности, к вспомогательным репродуктивным технологиям.

Слайд 27Необъяснимое бесплодие
втом случае, когда после обследования пары не удается выявить причины

бесплодия или когда проведена полноценная коррекция диагностированных причин бесплодия, а беременность не наступает, может идти речь о необъяснимом бесплодии. Его частота колеблется от 15 до 25 %. В немалой степени постановка диагноза необъяснимого бесплодия зависит от диагностических возможностей, т.е. спектра и качества используемых тестов. В целом же, существование необъяснимого бесплодия обусловлено отсутствием знания всех механизмов, лежащих в основе репродуктивного процесса. Существует мнение, что с увеличением количества дополнительных тестов снижается частота необъяснимого бесплодия. Однако если и дополнительные тесты не выявили причину бесплодия, то наиболее распространенным подходом к решению этой проблемы является проведение эмпирического лечения.

Слайд 28Методы вспомогательной репродукции
Методами лечения бесплодия, применяющимися в настоящее время являются: 1.    Стандартная

программа экстракорпорального оплодотворения (экстракорпоральное оплодотворение). 2.    Трансцервикальный перенос гамет (перенос гамет в маточную трубу) и зигот (перенос зиготы в маточную трубу) в маточные трубы. 3.    Программа суррогатного материнства. 4.    экстракорпоральное оплодотворение с интрацитоплазматической инъекцией сперматозоидов (экстракорпоральное оплодотворение+Икетостероиды И).

Слайд 30 Методы вспомогательной репродукции
5.    Программа донации ооцитов.
6.    экстракорпоральное оплодотворение+Икетостероиды И в сочетании

с чрескожной аспирацией сперматозоидов из яичка или его придатка.
7.    Сочетание экстракорпоральное оплодотворение с программами при криоконсервированных эмбрионах (CRYO).

Слайд 33Показания к лечению с помощью стандартной программы экстракорпоральное оплодотворение
1.    Абсолютное

трубное бесплодие, обусловленное отсутствием обеих маточных труб. 2.    Стойкое трубное и трубно-перитонеальное бесплодие, вызванное необратимой окклюзией маточных труб (или единственной оставшейся трубы) и/или спаечным процессом в малом тазу, при бесперспективности дальнейшего консервативного или хирургического лечения бесплодия. 3.    Эндокринное бесплодие, при невозможности достижения беременности с помощью гормонотерапии в течение 6—12 мес. 4.    Бесплодие, обусловленное эндометриозом органов малого таза, при безуспешности других видов лечения в течение 2 лет. 5.    Бесплодие, связанное с мужским фактором (олиго-, астено-, тератозооспермией I—II степени). 6.    Бесплодие неясного генеза продолжительностью более 2 лет, установленное после использования всех современных методов обследования, включая лапароскопию. 7. Сочетание указанных форм бесплодия.

Слайд 35Этапы лечения стандартным методом экстракорпоральное оплодотворение
  Диагностика причины бесплодия и

отбор супружеских пар. 2.    Стимуляция суперовуляции. 3.    Мониторинг роста и развития фолликулов (УЗ и гормональный). 4.    Трансвагинальная пункция фолликулов под контролем УЗИ и получение преовуляторных ооцитов (рис. 7.7). 5.    Получение спермы и подготовка ее к инсеминации in vitro. 6.    Инсеминация ооцитов in vitro, культивирование половых клеток, установление факта оплодотворения ооцитов и дробления эмбрионов. 7.    Перенос эмбрионов в область дна матки матери (рис. 7.8, а). 8.    Поддержка лютеиновой фазы лечебного менструального цикла. 9.    Диагностика беременности, ее ведение и родоразрешение.

Слайд 36Резюме
Составлять план обследования бесплодной пары необходимо индивидуально. Схема обследования супружеской

пары при подозрении на бесплодие включает клиническое и гинекологическое исследование, УЗИ половых органов, щитовидной железы, молочных желез, обследование на ЗППП, гормональное обследование, спермограмму мужа, посткоитапьный тест, определение антиспермальных антител в сыворотке крови и, по показаниям, в цервикальной слизи, проведение гистероскопии и лапароскопии.

Обратная связь

Если не удалось найти и скачать презентацию, Вы можете заказать его на нашем сайте. Мы постараемся найти нужный Вам материал и отправим по электронной почте. Не стесняйтесь обращаться к нам, если у вас возникли вопросы или пожелания:

Email: Нажмите что бы посмотреть 

Что такое ThePresentation.ru?

Это сайт презентаций, докладов, проектов, шаблонов в формате PowerPoint. Мы помогаем школьникам, студентам, учителям, преподавателям хранить и обмениваться учебными материалами с другими пользователями.


Для правообладателей

Яндекс.Метрика