Язвенная болезнь желудка презентация

Содержание

Слайд 1Язвенная болезнь желудка





Подготовила студентка группы 1.5.52
Пастухова Дария Алексеевна


Слайд 2Чаще поражает мужчин в возрасте 35-60 лет

По статистике районных поликлиник, частота

заболеваемости в Москве равна 3-4% взрослого населения

Соотношение заболеваемости у мужчин и женщин 3:1

Слайд 3Язва -
дефект в слизистой оболочке пищеварительного тракта в виде ниши

или бреши, который распространяется за пределы мышечной пластинки этой оболочки в подслизистую основу или глубже

Слайд 5Классификация по МКБ-10
K25 Язва желудка

K25.0        Острая с кровотечением
K25.1        Острая с прободением
K25.2       

Острая с кровотечением и с прободением
K25.3        Острая без кровотечения или прободения
K25.4        Хроническая или неуточненная с кровотечением
K25.5        Хроническая или неуточненная с прободением
K25.6        Хроническая или неуточненная с кровотечением и прободением
K25.7        Хроническая без кровотечения или прободения
K25.9        Неуточненная как острая или хроническая, без кровотечения или прободения

Слайд 6Пептические (хронические) язвы представляют собой одиночные поражения.
Развиваются в любой части

ЖКТ, которая подвергается агрессивному воздействию пепсина желудочного сока и хлористо-водородной кислоты.

Слайд 7Этиология

Воспалительная теория Крювелье
Сосудистая теория Р. Вирхова
Пептическая теория Ригеля
Инфекционная теория Леберта
Наследственно-конституциональная теория

Бергмана
Кортико-висцеральная теория Быкова-Курцина


Слайд 8Антральный гастрит

Атрофический гастрит

Helicobacter pylori

Генетическая предрасположенность


Слайд 9Патогенез
Общие факторы: нарушения нервной и гормональной регуляции

Местные факторы: нарушение соотношения

между факторами агрессии желудочного сока с факторами защиты слизистой оболочки желудка

Слайд 11Морфологическим субстратом язвенной болезни является хроническая рецидивирующая язва.

В ходе формирования

она проходит стадии эрозии и острой язвы.

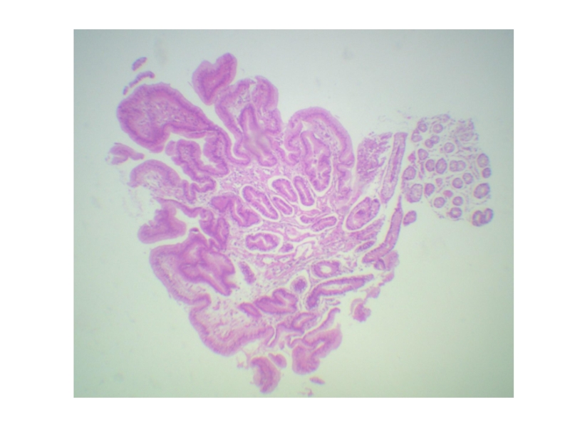
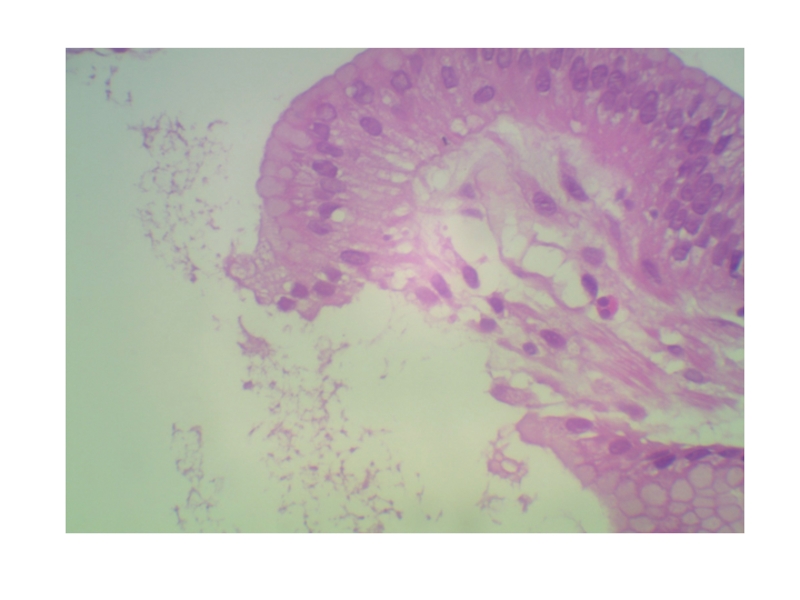
Слайд 13Эрозия желудка на фоне атрофического гастрита


Слайд 14Эрозия желудка


Слайд 15Эрозии — дефекты слизистой, которые не проникают за мышечную пластинку слизистой. В

желудке могут возникать множественные эрозии, которые обычно легко эпителизируются. Но в случаях развития язвенной болезни некоторые эрозии не заживают; некрозу подвергаются не только слизистая, но и более глубокие слои стенки желудка, развиваются острые пептические язвы.
По мере очищения от некротических масс выявляется дно острой язвы, которое образовано мышечным слоем, иногда серозной оболочкой. Часто дно окрашено в грязно-серый или черный цвет вследствие примеси гемоглобина. Глубокие дефекты слизистой нередко приобретают воронкообразную форму, причем основание воронки обращено к слизистой, а верхушка — к серозному покрову.


Слайд 16Перфорирующая язва двенадцатиперстной кишки


Слайд 18Острые язвы желудка обычно появляются на малой кривизне, в антральном и пилорическом

отделах.
Причина:
Малая кривизна является «пищевой дорожкой» и поэтому легко травмируется, железы ее слизистой выделяют наиболее активный желудочный сок, складки ригидны и при сокращении мышечного слоя не в состоянии закрыть дефект.
С этими особенностями связаны плохое заживление острой язвы этой локализации и переход ее в хроническую.

Слайд 19Хроническая язва желудка обычно единичная. Имеет овальную или округлую форму и размеры

от нескольких миллиметров до 5—6 см.
Она проникает в стенку желудка на различную глубину, вплоть до серозного слоя. Дно язвы гладкое, края валикообразно приподняты, плотные, омозолелые (каллезная язва).
Край язвы, обращенным к пищеводу, подрыт, и слизистая нависает над дефектным краем, обращенным к привратнику, иногда имеет вид террасы, ступени которой образованы слоями стенки.

Слайд 24Заживление хронических язв происходит путем образования рубца.

Для заживления язвы с

нерезко выраженным фиброзом дна и краев требуется около 5—7 недель.

В результате заживления глубоких, особенно пенетрирующих, язв могут возникнуть деформации желудка.

Слайд 25Лечение.
Диета
Ингибиторы протонной помпы
Прием антибактериальных препаратов
Прием антигистаминных препаратов
Прием антацидных препаратов
Отказ от курения

и алкоголя

Слайд 26Прогноз
При своевременном выявлении и лечении заболевания прогноз благоприятный.
Иногда язва желудка может

осложниться кровотечениями в брюшную полость.
В некоторых случаях ЯБЖ является предраковым состоянием.

Слайд 27СПАСИБО ЗА ВНИМАНИЕ!


Обратная связь

Если не удалось найти и скачать презентацию, Вы можете заказать его на нашем сайте. Мы постараемся найти нужный Вам материал и отправим по электронной почте. Не стесняйтесь обращаться к нам, если у вас возникли вопросы или пожелания:

Email: Нажмите что бы посмотреть 

Что такое ThePresentation.ru?

Это сайт презентаций, докладов, проектов, шаблонов в формате PowerPoint. Мы помогаем школьникам, студентам, учителям, преподавателям хранить и обмениваться учебными материалами с другими пользователями.


Для правообладателей

Яндекс.Метрика