Тромбоз. Эмболия. Инфаркт презентация

Слайд 1Тақырып № 8. Тромбоз. Эмболия. Инфаркт.
Дайындаған м.ғ.д.
Шабдарбаева Д.М.


Слайд 2Вене тамырындағы аралас тромбы.
а – вена қабырғасы; б – эритроциттер; в

–фибрин жіпшелері; г – лейкоциттер

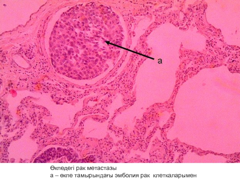
Слайд 3Өкпедегі рак метастазы
а – өкпе тамырындағы эмболия рак клеткаларымен


Обратная связь

Если не удалось найти и скачать презентацию, Вы можете заказать его на нашем сайте. Мы постараемся найти нужный Вам материал и отправим по электронной почте. Не стесняйтесь обращаться к нам, если у вас возникли вопросы или пожелания:

Email: Нажмите что бы посмотреть 

Что такое ThePresentation.ru?

Это сайт презентаций, докладов, проектов, шаблонов в формате PowerPoint. Мы помогаем школьникам, студентам, учителям, преподавателям хранить и обмениваться учебными материалами с другими пользователями.


Для правообладателей

Яндекс.Метрика