Произведение ребенка 448 группа ОМФ 2011-2012 травматология презентация

Содержание

Слайд 1Произведение ребенка 448 группа ОМФ 2011-2012
травматология


Слайд 21
1.Перелом Хэнгмана(перелом «повешенного»)
2.Прведение винта через ???
3. метод Юмашева–Силина


Слайд 32
Множественный перелом 5,6,7 ребер справа,со смещением отломков, осложненный тотальный пневмотораксом


Слайд 43
Оскольчатый Перелом головки бедра со смещением отломков с вывихом бедра?


Слайд 54
Межмыщелковый Т-образный внутрисуставной Перелом бедра


Слайд 65
Перелом поперечных отростков 3,4,5 поясн позв


Слайд 76
Разрыв симфиза,


Слайд 87
Изолированный средний гемоторакс справа


Слайд 98
Сколиоз. ??? Корректор 3-4 ст


Слайд 109
Перелом Мантеджи


Слайд 1110
Поперечный перелом тела надколенника со смещением


Слайд 1211
Краевой перелом латерального мыщелка (надмыщелка) б/б кости слева


Слайд 1312
Незавершенный пронационный
перелом справа


Слайд 1413
Подвывих с3 кпереди. Взрывной перелом с6


Слайд 1514
перелом основания зуба с захватом телас2.


Слайд 1716
Перелом шейки лучевой кости со смещением отломков,Задне-внутренний вывих обеих костей предплечья


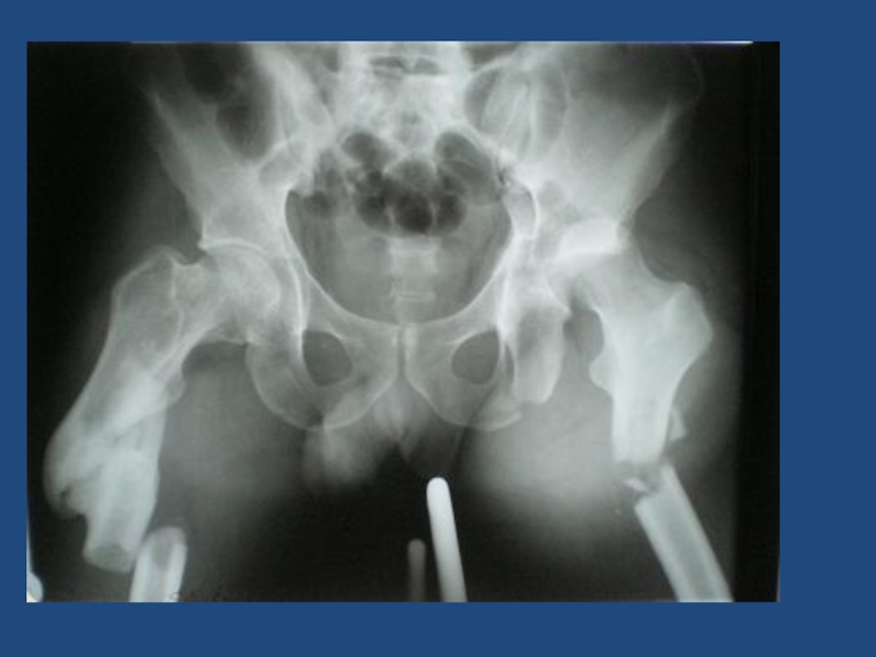
Слайд 1817
Вывих(выпадение) тазобедренного
эндопротеза слева и чрезвертельный перелом


Слайд 1918
Поперечный перелом с/3 бедра со смещеним, внутрикостный кондилоцефалический остеосинтез 2 спицами


Слайд 2019
Нижневнутренний вывих таранной кости


Слайд 2120
Уретрография. Разрыв мочеточника. Разрыв симфиза.


Слайд 2221
Переломы костей заднего полукольца с нарушением его непрерывности. ???Компрессионный перелом вертлужной

впадины с

Слайд 2322
Множественная травма. Перелом: Ключица справа, 5-8ребер справа


Слайд 2423
Передне-нижний вывих плеча подклювовидный?


Слайд 2524
Полный вывих акромиального конца ключицы


Слайд 2625
Т- образный Межмыщелковый перелом плеча, со смещением отломков
Чрезмыщелковый разгибательный


Слайд 2726
Перелом луча в типичном месте по типу Коллису перелом шиловидного отр


Слайд 2827
Перелом шейки 5 пястной кости


Слайд 2928
Сросшийся перелом с/3 бедра, внутрикостный центромедулярный блокирующий остеосинтез


Слайд 3029
Трансцервикальный перелом шейки бедра


Слайд 3130
Сегментарный перелом с/3 бедра


Слайд 3231
Перелом латерального мыщелка большеберцовой кости


Слайд 3332
Разрыв наружной боковой связки справа


Слайд 3433
Супинационный перелом:
: поперечный перелом наружной, косой перелом внутренней лодыжек с вывихом

стопы кнутри.

Слайд 3534
Ложный сустав н/3 берцовых костей


Слайд 3635
Завершенный перелом Дюпюитрена, накостный остеосинтез:
1) разрыв дельтовидной связки; 2) перелом н/з

малоберцовой кости;
3) разрыв дистального межберцового синдесмоза; 4) вывих стопы кнаружи.


Слайд 3736
Перелом заднего края б/б кости с вывихом стопы кзади(Потта-десто)


Слайд 3837
Внутрисуставной ???

Перелом таранной кости


Слайд 3938
???Передний вывих таранной кости.


Слайд 4039
Плоскостопие.


Слайд 4140
Перелом шеек 2-4 пястных костей со смещением. Вывих 5 пальца


Слайд 4241
Односторонний полный вывих в суставе Лисфранка слева


Слайд 4342
Сочетанная травма. Внесуставной краевой горизонтальный перелом пятки типа утиного клюва слева.

Компрессионный перелом+ краевой пятки справа. Компьютерная томография – компрессионные переломы L1-Th12 позвонков

Слайд 4443
внесуставной краевой горизонтальный перелом пяточной кости типа утиного клюва.


Слайд 4544
Вывих безымянной кости.


Слайд 4645
КТ. Разрыв крестцовоподвздошного сочленения.перелом подвздошной кости


Слайд 4746
Перелом Мальгеня


Слайд 4847
Отрыв передненижней ости справа. Глянь на левое крыло


Слайд 4948
Перелом седалищной. разрыв Симфиза. Разрыв мочевого пузыря при сцинтиграфиии


Слайд 5049
Перелом дна вертлужной впадины без смещения
или артроз+
Задне-верхний вывих


Слайд 5150
Компрессионный L1 2 ст с отрывом края тела.
Перелом края тела L4



Слайд 5251
Подвывих с2 позвонка кпереди. Перелом остистого отростка с4.


Слайд 5352
Стабильный перелом края тела с7


Слайд 5453
Перелом пилона справа


Слайд 5554
Срастающийся перелом с/3(н/3)б/б кости. (ложный сустав)Центромедулярный блокирующий остеосинтез


Слайд 5655
Задне-наружный вывих предплечья справа


Слайд 5756
Перелом большого вертела с отрывом малого


Слайд 5857
Задний вывих стернального конца ключицы


Слайд 5958
опухоль


Слайд 6059
Вертикальный перелом подвздошной кости слева+ может разрыв лонного симфиза


Слайд 6160
Перелом Галеаци


Слайд 6362
Перелом луча в типичном месте типа Коллеса


Слайд 6463
Остеомиелит левой плечевой кости


Слайд 6564
Запирательный вывих бедра слева


Слайд 66Срастающийся поперечный перелом нижней трети бедра. Накостный остеосинтез шурупами


Слайд 67Винтообразный перелом между с/3и н/3 трети б/б кости и винтообр. Перелом

в/3 м/б кости

Слайд 68Дефект с/3 б/б кости. НАРАЩИВАНИЕ


Обратная связь

Если не удалось найти и скачать презентацию, Вы можете заказать его на нашем сайте. Мы постараемся найти нужный Вам материал и отправим по электронной почте. Не стесняйтесь обращаться к нам, если у вас возникли вопросы или пожелания:

Email: Нажмите что бы посмотреть 

Что такое ThePresentation.ru?

Это сайт презентаций, докладов, проектов, шаблонов в формате PowerPoint. Мы помогаем школьникам, студентам, учителям, преподавателям хранить и обмениваться учебными материалами с другими пользователями.


Для правообладателей

Яндекс.Метрика