Неврологиядағы зерттеу әдістері инструментальды лабораторлы презентация

Содержание

Слайд 1 Неврологиядағы зерттеу әдістері. Нейровизуализациялық диагностика. Неврологиялық ауруларды зерттеудегі КТ,МРТ рөлі. Функционалды

зерттеу әдістері ЭЭГ,ЭНМГ. Церебральді және прецеребральді қантамырларды зерттеу әдістері.

Орындаған: Мырзабекова Н.Ж
Топ: 611 ВОП

«Астана медицина университеті» АҚ


Слайд 2


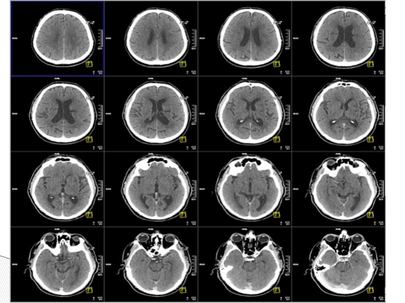
Слайд 3Рентген сәулесіне негізделген ағзаның қабатты (послойный) диагностикалық әдісі.
Компьютерлік томография


Слайд 5Тамыр ( сосудистые) аурулары
Травмалық зақымдану
Ми ісігі
Абцесс
Және т.б жұлын мен бас миының

аурулары

Мына ауруларда ақпаратты әдіс болып табылады.


Слайд 6Ішкі органдар мен тіндерді зерттейтін томографиялық әдіс.
Магнитті резонансты томография


Слайд 7Аневризма жарылған кездегі қан құйылудан болган гидроцефалия. (На МРТ головного мозга(На МРТ головного

мозга показана сообщающаяся гидроцефалия(На МРТ головного мозга показана сообщающаяся гидроцефалия после кровоизлияния при разрыве аневризмы)

Слайд 8Мойын аймағында ауырсыну сезімі
Ісіктер
Ми қанайналымының бұзылысы
Сөйлеудің бұзылысы
Парез және паралич
Интеллект төмендеуі
Қандай симптомдар

кезінде бас миына МРТ жасалады:

Слайд 9Травма черепа
Бас миы маңында метастаз барына күдіктенгенде
Демиелинизация- рассеянный склероз
Түрік ертоқымы мен

гипофиз патологиясы
Артериовенозды мальформация
Васкулиттер
Бас миының обыры
Инфаркт және инсульт

Қандай аурулар кезінде МРТ жасалады:


Слайд 10Бас миының биопотенциалдарын тіркейтін әдіс. Қалыпты жағдайда биоэлектрлі потенциал симметриялы болып

келеді. ЭЭГ ми қыртысының(коры)нейрондарының жалпы функциональды активтілігін сипаттайды.

Электроэнцефалография


Слайд 11Дені сау адамда тыныштық жағдайда ЭЭГ-ң басты компоненттері альфа және бета-ритмдары

болп табылады.. Альфа-толқындары – дұрыс ритмді ауытқулар (правильные ритмичные колебания ) жиілігі 8—12 в 1 с және амплитуда 30—70 мкВ. Альфа-ритм желке аймағында тіркеледі. Бета-толқындары алдыңғы ми бөлімдерінде. (маңдай және самай).

Электроэнцефалография


Слайд 13Бұлшықет және перифериялық нервтердің функционалды жағдайын зерттейтін әдіс.
Электронейромиография


Слайд 14Тітіркендіру факторына бұлшықет талшықтарының жиырылу қабілетін бағалау
Нерв бойымен импульстердің өту жылдамдығы

мен санын санау
Нерв тінінің зақымдалған орнын табу

Электронейромиография:


Слайд 16Полинейропатия
Арқаның травмасы
Бас миының шайқалуы мен соғылуы ( ушиб)
Остеохондроз
Рассеянный склероз
Миастения
Болезнь Паркинсона
Көрсеткіштер:


Слайд 17Назарларыңызға рахмет!!!


Обратная связь

Если не удалось найти и скачать презентацию, Вы можете заказать его на нашем сайте. Мы постараемся найти нужный Вам материал и отправим по электронной почте. Не стесняйтесь обращаться к нам, если у вас возникли вопросы или пожелания:

Email: Нажмите что бы посмотреть 

Что такое ThePresentation.ru?

Это сайт презентаций, докладов, проектов, шаблонов в формате PowerPoint. Мы помогаем школьникам, студентам, учителям, преподавателям хранить и обмениваться учебными материалами с другими пользователями.


Для правообладателей

Яндекс.Метрика