Лейкоциты. Функции моноцитов. Лимфоциты. Иммунитет презентация

Содержание

Слайд 2Лейкоциты – белые кровяные клетки, шаровидной формы.
Все лейкоциты имеют ядро.


Всего лейкоцитов в периферической крови от
4 до 9*109/л

Слайд 4Увеличение их количества называется лейкоцитозом. Наблюдаются при воспалительных процессах, при пищеварении,

мышечной работе, боли, сильных эмоциях, УФ-облучении.

Уменьшение – лейкопенией - возможно при некоторых болезнях.


Слайд 61. Базофил - от 0 до 1%.

крупная фиолетовая зернистость

- Большое 3-х лопастное расплывчатое ядро почти во всю клетку. В них большое количество гепарина и гистамина. Гепарин препятствует свертыванию крови в очаге воспаления, а гистамин – расширяет капилляры, что способствует рассасыванию и заживлению.
Продолжительность жизни базофилов 8-12 суток, время циркуляции в периферической крови (как и у всех гранулоцитов) – несколько часов.

Слайд 7Базофил


Слайд 8Функции базофилов
Поддержание кровотока в мелких сосудах и питания тканей
Поддержание роста

новых капилляров
Обеспечение миграции других лейкоцитов
Фагоцитоз и защита от инфекции
Участие в аллергических реакциях
Активация агрегации тромбоцитов

Повышение базофилов — базофилия:
болезни крови (острый лейкоз…)
хронические воспалительные состояния желудочно-кишечного тракта, язвенный колит
аллергические реакции (на введение чужеродного белка, гипер-чувствительность на пищу)

Понижение базофилов — базопения:
острые инфекции
гипертиреоз
овуляция, беременность
стресс
результат действия кортикостероидов, синдром Кушинга


Слайд 92. Эозинофил - 2-5% от всех лейкоцитов.
Эозинофил – имеет ядро

в виде 2-х висячих капель (форма может быть разной, но обязательно 2-е. Крупные гранулы в цитоплазме (набухшее желе, кетовая икра). Эозинофил красно-оранжевый. В наших мазках синие.
Обладает свойством фагоцитоза. Поглощает токсические вещества и гистамин, поэтому их количество возрастает при аллергиях, глистных инвазиях, различных отравлениях. Снижается их количество при тяжело протекающих инфекциях.



Слайд 10Эозинофилы - клетки аллергии


Слайд 11Эозинофил


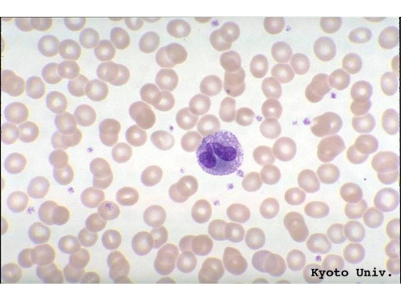
Слайд 143. Нейтрофилы В N – 53-56%
– самая распространенная популяция имеют

мелкую зернистость. Сегментоядерный нейтрофил – это зрелая форма нейтрофила. Кроме неё встречаются палочкоядерные нейтрофилы. И могут встречаться юные формы – при болезни.
- выполняют функцию фагоцитоза чужеродных клеток, микробов, бактерий, вирусов, химических веществ, разных частиц (типа занозы). Нейтрофилы увеличиваются в начале заболевания (напр. при острых бактериальных инфекциях), а затем их количество может резко снижаться за счет их резкой гибели. При этом в костном мозге образуются молодые новые нейтрофилы и в кровь поступают палочкоядерные и юные формы нейтрофилов. Особенно много юных, когда возрастает количество микробов. Их количество повышается при ангинах, пневмониях, при пересадке органов.

Слайд 16Нейтрофил


Слайд 17Нейтрофил поглощает бактерии сибирской язвы


Слайд 18
Эозинофилы – аллергия,
нейтрофилы – воспаление. – их увеличение свидетельствует об

инфекции в организме.

Слайд 20Незернистые формы. Агранулоциты.
Моноциты – зернистости в цитоплазме нет. Самые крупные крови

клетки (в 2-а раза крупнее лимфоцитов) с бобовидным ядром, которое занимает почти всю клетку. Клетки вытянутой формы. В N – 1-8%. Основная роль – фагоцитоз. Их называют санитарами. Фагоцитируют до 100 микробов (Все клетки заканчивают работу и появляются моноциты и все зачищают - «дворники», т.к. они последними выходят к месту заражения и подчищают остатки). Макрофаги или санитары организма.
При хронических инфекционных заболеваниях. Участвуют тоже в иммунитете, запоминая часть информации о чужеродных клетках.

Слайд 24Функции моноцитов
Участие в иммунном ответе и воспалении. Обеспечение клеточного и гуморального

иммунитета
Активация регенерации тканей
Участие в противоопухолевой защите
Регуляция гемопоэза
Фагоцитоз микроорганизмов и старых клеток, противопаразитарная защита
Стимуляция центра терморегуляции


Слайд 25Лимфоциты 24-30% (от лейкоцитов)
– мелкие лейкоциты с округлым ядром почти

во всю клетку.
Цитоплазма остается тонким слоем.
Увеличиваются при вирусных и хронических инфекциях – несут ответственность за специфический иммунный ответ.

Слайд 26Лимфоциты


Слайд 27«Т» - тимус зависимые дифференцируются и созревают в тимусе.

«В» -

бурсозависимые – образуются в костном мозге, дифференцируются в лимфоидной ткани кишечника, червеобразного отростка, небных и глоточных миндалин. Участвует в гуморальном иммунитете.
- обеспечивают гуморальный иммунитет

– обеспечивают клеточный иммунитет


Слайд 28Лимфоциты
«Т» - клеточный иммунитет
«Тh» - хелперы (помощники) –
распознают чужеродную
информацию

и сообщают
Т-супрессорам и Т-киллерам.
«Тs» - супрессоры (угнетатели)
– запоминают информацию о
чужеродной клетке и передают
«Тk»-киллер – (убийцы)
поглощают (фагоцитоз),
уничтожают чужеродные
трансплантанты,
клетки-мутанты, что сохраняет
генетический гомеостаз.

«В» - гуморальный иммунитет
реализуется путем выработки
антител (иммуноглобулинов),
которые разрушают и/или
выводят антиген из организма
Конечная цель гуморального
иммунитета — выработка
антител на какой-либо антиген.
Антитела вырабатываются
плазматическими клетками,
которые образуются из
В-лимфоцитов, поэтому
гуморальный иммунитет
иногда называют
В-иммунитетом.



Слайд 295 классов иммуноглобулинов.
Иммуноглобулины – это антитела, которые уничтожают взаимодействуя в процессе

сложного иммунного ответа генетически чужеродную информацию. Это могут быть бактерии, вирусы.
JgA - (a) иммуноглобулин.
Jgg - (джи) иммуноглобулины
Jgm - (м)
JgD
JgE


Слайд 30Субпопуляции лимфоциов.
МН-лимфоциты или естественные киллеры борьба с опухолями;
ТА – к-ки

или амплифайеры – усилители, которые стимулируют функции В и Т;
ТД – к-ки или ТД-лимфоциты следят чтобы дифференцировка шла в нужном направлении;
BS – проводят иммунологический надзор;
О (нулевые) лимфоциты – проводят лизис без комплиментов.


Слайд 32Увеличение количества лейкоцитов – лейкоцитоз
1 физиологический (в основе перераспределение крови) По

механизму действия называется перераспределительный;
Пищевой лейкоцитоз, миогенный – физические нагрузки, лейкоцитоз беременных, новорожденных, при эмоциональных напряжениях, во время наркоза. В основе лежит перераспределение клеток белой крови:
в нем участвуют костный мозг, селезенка, легкие.

2 патологический (реактивный).
Реактивный лейкоцитоз характерен для воспалительных процессов и инфекционных заболеваний. Связан с повышением выброса клеток из органов кроветворения с преобладанием молодых форм.

Слайд 33Лейкопения – уменьшение количества лейкоцитов.
Часто сопровождает длительную лекарственную терапию, поражение

костного мозга при лучевой болезни, недостаточность витамина В12 и фолиевой кислоты, тяжелые бактериальные и вирусные инфекции, воздействие ионизирующей радиации. Генетически обусловленная лейкопения, синтетические бытовые вещества.

Слайд 34Лейкоцитарная формула – % соотношение различных видов лейкоцитов.


Слайд 39 Своеобразие нашей иммунной системы:
1) Разбросана по всему организму.
2) Клетки находятся в постоянном движении

с током крови.
3) Клетки иммунной системы способны вырабатывать антитела строго специфические.


Слайд 41

Иммунитет
Естественный (природный)
Искусственный (приобретенный)
ВИДОВОЙ
НАСЛЕДСТВННЫЙ
ПРИОБРЕТЕННЫЙ
Пассивный
(с молоком
матери)
Активный
(после
болезни)
Активный
(после
вакцинации
ослабленных или
убитых
возбудителей
заболеваний)
Пассивный
(после введения
Лечебной

сыво-ротки) – готовыми антителами.
Кратковременный
но сразу.











Слайд 42Иммунодефицит.
1) физиологический – у новорожденных до 3-6 месяцев – когда организм ребенка

ещё не может вырабатывать иммуноглобулины и они поступают с молоком матери (→так важно кормить ребенка своим молоком особенно до 6 лет. Даже на искусственном вскармливании надо 1-2 раза давать хоть немного материнского молока).
2) Врожденная форма иммунодифицита – при нарушении функции вилочковой железы, когда нарушается дифференцировка и обучение Т-лимфоцитов выполнять свои функции (уничтожает и сохраняет все в вилочковой железе получают специализацию). Врожденный иммунодифицит – порожает Th – и лимфоциты не способны распознать свой-чужой.
3) Приобретенный иммунодефицит – при нарушении и клеточного и гуморального иммунитета при недостаточном питании и после длительных тяжелых заболеваний, после стрессов, т.к. адреналин угнетает иммунную систему.


Слайд 43Тимус (glandula thymus; син. вилочковая железа) – это парная железа, расположенная

с передней стороны средостения (плевры грудной полости).

Тимус (вилочковая железа) является центральным органом иммунитета, обеспечивающим продукцию специфических Т-лимфоцитов. Тимоциты секретируют в кровь гормональные факторы(тимозин, тимопоэтин, тимулин), оказывающие не только влияние на дифференцировку Т-клеток. Последние осуществляют главные ф-ции иммунной системы по противовирусной и противораковой защите организма, а также участвуют в отторжении чужеродных тканей при пересадке органов, но и вызывающие ряд общих регуляторных эффектов в организме. Гормоны тимуса регулируют состояние углеводного и белкового обмена, а также обмена кальция, функции щитовидной и половых желез, модулируют эффекты глюкокортикоидов, тироксина (антагонизм) и соматотропина (синергизм).



Слайд 44Вилочковая железа (тимус).
Играет важнейшую роль в функционировании клеточного и гуморального

иммунитета. В ней происходят дифференциация стволовых клеток в лимфоциты, а также секреция специфических веществ (гормонов), оказывающих влияние на развитие и созревание определенных клеток лимфоидной ткани. Из вилочковой железы выделен ряд гормонов полипептидной (тимозин, гомеостатический тимусный гормон, тимопоэтин I и II, тимусный гуморальный фактор) и стероидной (тимостерин) структуры. Получен ряд экстрактивных препаратов (Тималин, Тактивин, Тимоптин, Вилозен), применяющихся в качестве иммуностимуляторов; все они содержат вышеперечисленные гормоны вилочковой железы (в том числе альфа-тимозин) и в значительной мере близки между собой по действию. Из другого органа иммунной системы — костного мозга — получен препарат В-активин. К синтетическим иммуностимуляторам относится левамизол, ряд пептидных иммуностимуляторов (тимоген и др.).

Слайд 45Регуляция лейкопоэза


Слайд 46Иммуномодуляторы
препараты животного, микробного, дрожжевого и синтетического происхождения, обладающие специфической способностью стимулировать

иммунные процессы и активировать иммунокомпетентные клетки (Т- и В-лимфоциты) и дополнительные факторы иммунитета (макрофаги и др.).

Слайд 47Усиление общей сопротивляемости организма может в той или другой степени происходить

под влиянием ряда стимулирующих и тонизирующих средств (кофеина, элеутерококка и др.), витаминов, дибазола, производных пиримидина — метилурацила, пентоксила (ускоряют регенерацию, интенсифицируют лейкопоэз), дериватов нуклеиновых кислот и биогенных препаратов, получивших общее название — адаптогены.

Слайд 48иммунологические свойства эндогенных соединений — лимфокинов, интерферонов (терапевтическую эффективность ряда лекарственных средств —

Продигиозан, Полудан, арбидол и др. — объясняют в определенной мере тем, что они стимулируют образование эндогенного интерферона, т.е. являются интерфероногенами).

Слайд 49ИНТЕРФЕРОНЫ - группа низкомолекулярных гликопротеидов, вырабатываемых клетками человека или животных в

ответ на вирусную инфекцию или под действием различных индукторов.
ЛИМФОКИНЫ - биологически активные вещества, синтезируемые и выделяемые всеми популяциями лимфоцитов под действием антигена или неспецифич. активатора, напр. лектина. С помощью Л. осуществляются кооперация, координация и регуляция функции клеток, участвующих в иммунном ответе.

Слайд 50
Амиксин — первый таблетированный пероральный низкомолекулярный индуктор эндогенного интерферона, который можно

использовать как для профилактики, так и для лечения заболеваний вирусной этиологии.

Обратная связь

Если не удалось найти и скачать презентацию, Вы можете заказать его на нашем сайте. Мы постараемся найти нужный Вам материал и отправим по электронной почте. Не стесняйтесь обращаться к нам, если у вас возникли вопросы или пожелания:

Email: Нажмите что бы посмотреть 

Что такое ThePresentation.ru?

Это сайт презентаций, докладов, проектов, шаблонов в формате PowerPoint. Мы помогаем школьникам, студентам, учителям, преподавателям хранить и обмениваться учебными материалами с другими пользователями.


Для правообладателей

Яндекс.Метрика