Кров. Состав і функції крові презентация

Содержание

Слайд 2


Слайд 4Нейтрофіли 
(Фагоцити) складають приблизно 70% від загальної килькості лейкоцитів. Нейтрофіли активно фагоцитують,

тобто поглинають і перетравлюють, хвороботворні бактерії.

Слайд 5Еозинофіли відрізняються присутністю в цитоплазмі гранул, забарвлюються еозином в червоний колір. Еозинофіли

володіють антигістамінніми властивостями. Вміст еозинофілів в крові регулюється гормонами, що секретується корою надниркових залоз у відповідь на найрізноманітніші стресові впливи.

Слайд 6Базофіли  синтезують гепарин, білок, що перешкоджає згортанню крові, і гістамін, який

ініціює зокрема запальну реакцію в пошкоджених тканинах, що сприяє їх швидкому загоєнню.

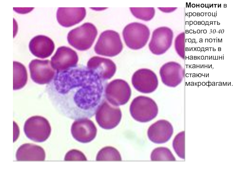
Слайд 7Моноцити в кровотоці проводять всього 30-40 год, а потім виходять в навколишні

тканини, стаючи макрофагами.

Слайд 8Макрофаги фагоцитують бактерії та інші відносно великі частки інфекції.


Слайд 9Лімфоцити 
індукують імунні реакції або беруть участь в них.


Слайд 10КЛАСИФІКАЦІЯ ІМУНІТЕТУ


Слайд 11+ натуральные
киллеры



+ дендритные клетки


Слайд 13Комплексы
антиген-
антитело
КЛАССИЧЕСКИЙ ПУТЬ
АЛЬТЕРНАТИВНЫЙ ПУТЬ
нейтрализация
вирусов
опсонизация
воспалительные
реакции,
хемотаксис:
запускаются
а-фрагментами
Бактериальные
мембраны и элементы
клеточной стенки,
факторы
комплемента P, D, B
ЛИЗИС
литический комплекс
СИСТЕМА
КОМПЛЕМЕНТА
*
*
*


Слайд 16
КОЛОНІАЛЬНА СЕЛЕКЦІЯ І ДИФЕРЕНЦІАЦІЯ В-ЛІМФОЦИТІВ


Слайд 19Клон может синтезировать антитела с одним и тем же паратопом, но

с разными свойствами остальной части молекулы (т.е. относящееся к разным классам и выполняющее разные функции):

Слайд 20В-лимфоциты делятся, давая антител-образующие клетки (АОК) и В-клетки памяти (Вп)

Т-хелперы активируют


В-лимфоциты, презентирующие сходные антигены


х

х

Роль АП-клеток и
Т-В кооперация

Т-хелпер с соответствующим рецептором активируется, запускается его пролиферация



АПК – антиген презентирующая клетка «предъявляет» антиген
Т-хелперам

Антиген

Т-В-
кооперация

Деление


Диффе-ренци-
ровка


Слайд 21АНТИГЕНПРЕЗЕНТУЮЧА ДЕНДРИТНА КЛІТИНА


Слайд 22класса II
Презентация антигена макрофагом


Общая схема расщепления антигена

Клетка, осуществляющая захват
антигена из внешней среды,
расщепляет его, а затем «показывает»
фрагменты на своей поверхности
с помощью белков группы МНCII

Презентация антигена дендритной клеткой

АП-клетки.


Слайд 23MHCII – на антиген-
презентирующих клетках
(представление «чужих»
антигенов Т-хелперам);
взаимодействует с CD4
Т-хелперов.
MHCI –

на всех клетках
(представление «своих»
антигенов Т-киллерам;
появление «чужих» антигенов
является признаком вирусной
инфекции, онкологического
заболевания, повреждения,
старения клетки и т.п.);
взаимодействует с CD8
Т-киллеров.



Слайд 24Макрофаги
Тх, натур. киллеры
Клеточный
иммунитет: макрофаги
Гумо-
ральный
иммунитет:
антитела
Т-хелперы:
дальнейший
выбор пути
Тх1


Тхп
Тх2
Тх0
ИЛ-4
ИЛ-10

ИЛ-3: рост и


дифф-ка
гемопоэтич.
клеток

Слайд 25Специфические препараты против вирусов – блокаторы обратной транскриптазы (СПИД) и других

свойственных вирусам ферментов (например, нейраминидазы в случае гриппа)

(CD4)

Интерферон-α («лейкоцитарный»),
интерферон-β («фибробластный»):
действуют через общий рецептор,
индуцируя синтез противовирусных
белков, ингибирующих трансляцию


Обратная связь

Если не удалось найти и скачать презентацию, Вы можете заказать его на нашем сайте. Мы постараемся найти нужный Вам материал и отправим по электронной почте. Не стесняйтесь обращаться к нам, если у вас возникли вопросы или пожелания:

Email: Нажмите что бы посмотреть 

Что такое ThePresentation.ru?

Это сайт презентаций, докладов, проектов, шаблонов в формате PowerPoint. Мы помогаем школьникам, студентам, учителям, преподавателям хранить и обмениваться учебными материалами с другими пользователями.


Для правообладателей

Яндекс.Метрика